DEFINIŢIE. Tromboza venoasă cerebrală (TVC) reprezintă ocluzia trombotică a sinusurilor venoase durale sau a venelor cerebrale superficiale şi profunde (1-4).
Epidemiologie
Reprezintă 1% din totalul accidentelor vasculare cerebrale. Poate apare la orice vârstă. Femeile sunt mai des afectate decât bărbaţii (4).
Etiopatogenie
Etiopatogenia TVC este variată individualizându-se două grupe de entităţi:
• infecţios-septică, secundară unor procese infecţioase din sfera ORL, purulente şi stări septice.
• aseptică, apare în: deshidratare, sarcină, lăuzie, afecţiuni cardiace congenitale sau dobândite, contraceptive orale, traumatisme craniene, sindroame paraneoplazice,
• coagulopatii, anemie drepanocitaraă, vasculite, leucemii, chimioterapie.
Localizări frecvente: sinusul sagital superior, sinusul transvers şi sinusul sigmoid.
Venele cerebrale profunde se trombozează mai frecvent la nou-născut şi copil.
În cazul trombozei venelor cerebrale interne poate apare zone de infarctizare la nivelul trunchiului cerebral, talamusului, hipotalamusului, corpului calos şi cerebelului.
Trombusul iniţial se formează în sinusul dural, apoi se poate extinde în venele corticale. Drenajul venos fiind obstruat, duce la creşterea presiunii în amonte cu afectarea barierei hemato-encefalică, apariţia edemului vasogenic şi a hemoragiei. În lipsa tratamentului TVC evoluează spre infarct venos şi edem citotoxic (1-4).
Semne clinice
În TVC, semnele clinice sunt extreme de polimorfe. Mai frecvent, pacienţii se prezintă cu: cefalee (75-90% din cazuri), semne focale variate, crize de epilepsie cu debut tardiv, tulburari vizuale, tulburarea starii de constienţă, edem papilar (4).
Metode imagistice
Metodele imagistice utilizate în tromboflebitele cerebrale sunt reprezentate de computer tomografie (CT- venografie CT), imagistica prin rezonanţă magnetică (IRM si venografia-RM) şi în cazuri absolut particulare angiografie (în cadrul unei trombolize locale). IRM reprezintă metoda de elecţie în bilanţul tromboflebitei cerebrale (1-4).
Aspecte imagistice
CT. Trombul proaspăt apare hiperdens la examenul CT nativ (« cord sign »). Trombusul vechi devine izodens la examenul CT nativ după aproximativ 14 zile. După administrarea de substanţă de contrast iodată i.v., trombusul intralumenal apare sub forma unui defect de umplere în interiorul vasului venos opacifiat (« empty delta sign »). Dacă evoluează spre infarct venos vor apărea: edem (hipodensităţi) şi hemoragii peteşiale (hiperdensităţi) în parenchimul cerebral drenat de traiectul venos trombozat.
În cazul în care un trombus obstruează un vas nepereche (ex. sinusul sagital superior), modificările sunt bilaterale şi cu topografie aproape simetrică, în oglindă.
IRM reprezintă metoda de elecţie, având sensibilitate crescută pentru vizualizarea directă a trombului intrasinusal şi pentru demonstrarea răsunetului parenchimatos al obstrucţiei venoase (2). Modificările de semnal depind de stadiul trombozei şi sunt în corelaţie cu stadiul de degradare al hemoglobinei:
• stadiul I (acut între prima şi a 5-a zi: deoxi Hb) – trombul apare în izosemnal în ponderaţie DP şi T1 şi hiposemnal în ponderaţie T2
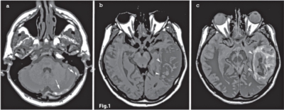
• stadiul II (subacut între ziua a 6-a şi a-15 zi: metHb intracelulară) – trombul apare în hipersemnal atât T1, DP cât şi în ponderaţie T2 (Fig.1)
• stadiul III (după 2-3 săptămâni) – trombul apare în hiposemnal T1, DP cât şi T2.
• stadiul cronic (după câteva luni):semnalul heterogen la nivelul sinusului venos semnifică recanalizarea cu imagini în hiposemnal sugestiv pentru flux rapid (« signal void ») în toate secvenţele.

Postinjectare de substanţă de contrast în stadiul acut şi subacut se evidenţiază:
• acumulare de contrast în venele cerebrale secundară stazei venoase;
• priză de contrast la nivelul peretelui sinusului venos trombozat şi al meningelui adiacent si defectul de umplere corespunzător trombului.
Consecinţe parenchimatoase - ischemia venoasă- se descriu 3 stadii:
• Stadiul I – edem cerebral difuz, cu ştergerea sanţurilor intergirale
• Stadiul II – edem vasogenic- hipersemnal T2 în substanţa albă periventriculară (secundar transudării plasmei din venele congestionate, cu pasaj crescut al apei din parenchim în sistemul ventricular), cu sau fără hidrocefalie internă.
• Stadiul III – infarct venos propriu-zis = zona mixtă, cu edem si hemoragie (vezi Fig.1), cortico-subcorticală, secundar rupturii venelor corticale.
• Stadiile I şi II sunt complet reversibile sub tratament trombolitic. În ponderaţie de difuzie infarctul venos apare în hipersemnal în stadiul acut, în porţiunea centrală existând o zonă centrală în care coeficientul de difuzie aparenta(CDA) este diminuat, normalizarea apărând după aproximativ 4 zile (2).

Venografia-RM
• are sensibilitate de aproape 100% în diagnosticul trombozei sinusurilor venoase mari şi de aproximativ 95% pentru sinusul transvers.
• evidenţiază absenţa fluxului sau lipsa opacifierii în achiziţiile 3D FSPGR postGd la nivelul sinusului trombozat (Fig.2).
• pot apărea rezultate fals pozitive sau negative datorită unor artefacte de flux regionale (în torcular, sinusul sigmoid sau transvers) sau a unor variante constituţionale de calibru ale sinusurilor venoase (2).
Diagnostic diferenţial
• În mod normal vasele sanguine pot avea un aspect discret hiperdens la examenul CT nativ şi se observă la nou-născuţi
• Variante anatomice: hipoplazie, agenezie de sinus transvers, sinus sigmoid
• Granulaţii arahnoidiene (Pacchioni)
• Semn «empty delta» fals: hematom subdural sau diviziune înaltă a SLS
• AVC ischemic cerebral: aria infarctizată se suprapune unui teritoriu arterial; în stadiul acut diminuarea CDA este aceeaşi în toata zona infarctizată; normalizarea CDA se produce după ziua a 9-a (2).
Esenţial pentru interpretare
• intervalul dintre debutul simptomelor şi momentul examinării
• anomaliile de densitate/semnal la nivelul structurilor venoase, însoţite sau nu de modificări la nivelul parenchimului cerebral drenat de acestea.
• evidenţierea semnelor de gravitate (ex. infarct venos), fenomene de hipertensiune intracraniană.
Bibliografie selectivă
Osborn – Diagnostic Imaging – Brain Brain, First Edition, 2004, 341-348.
Sartor K, Hahnel S, Kress B. Encephale, Flammarion, 2009, 109-112.
Kornienko VN, Pronin IN. Diagnostic Neuroradiology, Springer-Verlag 2009, 172-175.
Scarabino T., Salvolini U., Jinkins J.R. Emergency Neuroradiology, Springer Berlin Heidelberg 2006,115-117.
Ioana G.Lupescu, Clinica de Radiologie, Imagistică Medicală şi Radiologie Intervenţională Fundeni UMF ”Carol Davila”


























