CRSC este o afecţiune relativ frecventă ce constă în decolarea seroasă a retinei senzoriale la nivelul regiunii maculare, prin acumulare de lichid seros, neinflamator între retina senzorială intactă şi epiteliul pigmentar retinian (EPR) afectat printr-un defect focal al coriocapilarei.
Tipic, apare la adultul tânăr, bărbat, ce acuză tulburări vizuale la un ochi, mai rar binocular, în relaţie directă cu un stres psihic pe un fond de anxietate permanentă, considerat a fi factorul declanşator obligatoriu.
Din punct de vedere patogenic s-au evidenţiat niveluri circulante crescute de cortizon şi epinefrină care afectează autoreglarea circulaţiei coroidiene.
Factorii de risc incriminaţi:
• Hipertensiunea arterială
• Consumul de corticoizi
• Consumul de alcool
• Terenul migrenos
• Tipul A de personalitate
• Graviditatea
• Boala Cushing
• Lupusul eritematos sistemic, etc
Clinic: simptomatologia debutează brusc, cu alterarea acuităţii vizuale – impresia de ceaţă, cu metamorfopsii, micropsii, mai rar macropsii, disconfortul vederii binoculare, percepţia unui scotom central sau paracentral pozitiv şi relativ.
Probele funcţionale:
• Scăderea sensibilităţii la contrast
• Creşterea semnificativă a timpului de recuperare vizuală la testul de ebluisare maculară
• Alterarea simţului cromatic cu discromatopsie pe axul albastru/galben
• Distorsionarea liniilor drepte şi apariţia unui scotom central pe grila Amsler
Examenul fundului de ochi pune în evidenţă o proeminenţă ca o bulă în regiunea maculară, bine delimitată, rotund-ovalară, de aproximativ 1-3 diametre papilare, cu reflex foveolar absent, vitros fără reacţie inflamatorie. Zona de afectare localizată a epiteliului pigmentar apare ca o leziune rotundă, de culoare gălbui, profundă, situată în partea superioară a proeminenţei.

Angiofluorografia (AFG) arată hiperfluorescenţa anormală instalată precoce, punctiformă, iniţial strict în aria bulei- este punctul de fugă. Treptat, hiperfluorescenţa creşte în intensitate şi suprafaţă, persistând în tipul tardiv - aspect de coş de fum sau far în ceaţă.
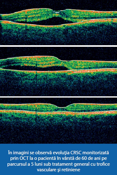
La Tomografia în Coerenţa Optică (OCT) se observă un spaţiu mut optic, hiporeflectiv între retina neurosenzorială şi epiteliul pigmentar retinian. Această investigaţie este deosebit de utilă în diagnostic, dar şi pentru urmărirea evoluţiei decolării seroase a retinei şi a răspunsului la tratament.
Evoluţia afecţiunii este favorabilă spontan cu normalizare în câteva săptămâni/luni. Reaplicarea retinei neurosenzoriale durează până la 4-6 luni fără tratament, dar 25-50% din pacienţi pot prezenta sechele cu disconfort vizual şi scăderea acuităţii vizuale, sechelele fiind cu atât mai importante cu cât decolarea seroasă durează mai mult timp. Prognosticul este bun în general, dar pot exista cazuri cu recidive multiple şi bilateralizări, cu remanieri semnificative de EPR şi maculopatie cistoidă.
În prezent tratamentul oferă alternative foarte bune de recuperare rapidă:
• Fotocoagularea laser argon direct a punctului de fugă sub control angiofluorografic este eficientă, antrenând o reaplicare a retinei cu recuperare funcţională în 4-5 săptămâni. Indicaţiile laserului sunt episoadele recurente cu deficit funcţional, durata mare de evoluţie a bolii, cazurile bilaterale simultan sau când vederea unui ochi este scazută prin recidive CRSC şi apare un episod la celălalt ochi, persoane cu preocupări care solicită vedere clară la ambii ochi.
• Injectarea intravitreeană de triamcinolon acetonid şi de avastin sunt variantele moderne de tratament, indicate mai ales în cazurile cu evoluţie îndelungată sau cu recidive.
• Pacienţii care fac un prim episod şi care nu au indicaţii speciale pot fi doar supravegheaţi fără tratament sau se pot prescrie pe cale generală trofice vasculare şi retiniene, urmărind evoluţia afecţiunii cu ajutorul OCT.



























Speriosu Tiberius
Am aceasta afectiune de 5lunk dw zile lichidul a dispărut astept sa imi apara si acuitatea vizuala. probkema e ca pe celalalt ochi a cam obosit si pe un oct s a vazut o dwplasare dw punct central de la 64 la 40 si 30. am tinut regim am slabit si am mancat sanatos înainte aveam un regim dw viata dezechilibrat. Astept sa ma vindec. numai Dumnezeu vindeca omul cand intervine face mai mult rau in unele cazuri. Ar trebui un forum dedicat ca oamenii sa demonteze toate minciuniile vizavi de laser si tratamente minune toate lasa sechele astept aa ma contraziceti si o sa va aduc un om orb de la 3interventii cu laseru.
April 30, 2025, 1:42 p.m.