Magnitudinea problemei a crescut: dacă până în anul 2014 se aprecia că supraviețuiesc 14,5 milioane de oameni cu diagnosticul de cancer, acum se gândește că până în anul 2020 populația supraviețuitoare va crește cu 31%. Această creștere acoperă toate tipurile de cancer – în proporții relativ asemănătoare. Cancerul și bolile cardiovasculare pot coexista în proporții apropiate de-a lungul vieții bolnavilor.

Tratamentul antineoplazic poate provoca disfuncție contractilă, hipertensiune arterială, ischemie miocardică, tromboembolism pulmonar, aritmii; radio-terapia crește riscul mortalității cardiovasculare prin sporirea riscului de boală cardiacă, trombembolism pulmonar, boală vasculară.
Practic – toate ghidurile se înscriu în administrarea continuă a terapiei oncologice la bolnavii care au adesea o patologie asociată care le crește riscul.
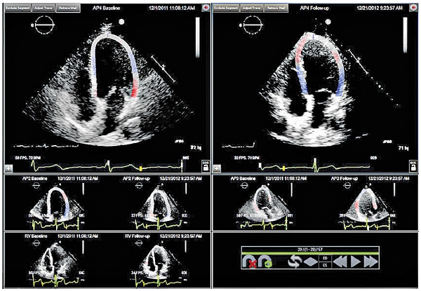
Noi am lucrat printr-o teză de doctorat (Dr. Anca Maria Popară-Voica) la „determinarea efectelor toxice ale chimioterapiei asupra cordului”.
Concluziile studiului nostru se referă la necesitatea monitorizării active a pacienţilor ecografici care primesc tratament antiangiogenic şi a colaborării strânse oncolog-cardiolog.
Tratamentul antiangiogenic induce la jumătate din pacienţi agravarea HTA preexistentă şi apariţia HTA de novo plus reducerea parametrilor de funcţie sistolică a ambilor ventriculi.
Totuşi disfuncţia cardiacă trebuie privită ca o consecinţă a toxicităţii miocardice intrinseci a terapiei in discuţie, HTA preexistentă fiind factorul permisiv/precipitant major al cardiotoxicității acestei terapii.
Desigur – studiul tutror acestor factori imagistici în cardio-oncologie este în plină desfășurare și rezultatele sale sunt așteptate.
Prof. Dr. Carmen Ginghină, Șeful Clinicii de Cardiologie, Institutul de Urgență pentru Boli Cardiovasculare, „Prof. C.C. Iliescu”, UMF Carol Davila


























