
Scolioza este o curbură laterală a coloanei vertebrale în plan frontal mai mare de 10 grade. Scolioza este o deformare complexă, evolutivă, care cuprinde şi rotaţia corpilor vertebrali, iar adesea şi cifoza. Scolioza afectează în general 2 % dintre femei şi 0.5 % dintre bărbaţi.
Sunt multe cauze de scolioză, incluzând malformaţii congenitale ale coloanei vertebrale, condiţii genetice, probleme neuromusculare şi inegalităţi de membre pelvine.Alte cauze de scolioză includ: paralizia cerebrală, spinabifidă, distrofii musculare, atrofie a musculaturii spinale, tumori.
Scolioza poate fi nonstructurală (funcţională) sau structurală.
Forma nonstructurală
Este o curbură suplă, care dispare în timpul înclinării laterale sau anterioare a trunchiului, iar corpii vertebrali nu prezintă modificări. Scolioza nonstructurală poate fi: posturală, care este o curbură minimă şi apare la sfârşitul perioadei de creştere; compensatorie datorită inegalităţii membrelor inferioare; tranzitorie ( antalgică), ce apare în colica renală, hernii de disc şi dispare odată cu ele.
Forma structurală
Este o deformare fixă, rigidă, care nu dispare în timpul mişcărilor sau înclinostatism, iar vertebrele suferă o rotaţie în jurul propriei axe.
Scolioza structurală
Este în cele mai multe cazuri idiopatică, dar poate fi şi secundară unor modificări osoase (hemivertebre, traumatisme), musculare (distrofii musculare), neurologice ( siringomielie, mielomeningocel).
Scolioza idiopatică
Este cel mai frecvent întâlnită, peste 80% dintre cazurile de scolioză sunt idiopatice, ceea ce înseamnă că nu au o cauză cunoscută. În peste 40% din cazuri există un factor ereditar, pacienţii cu istoric familial de deformări ale coloanei vertebrale au risc crescut pentru scolioză.
Scolioza idiopatică se împarte în patru categorii în funcţie de perioada de apariţie: scolioza infantilă- la copiii cu vârste sub 3 ani; scolioza juvenilă - la copiii cu vârste între 3 şi 9 ani; scolioza adolescentului- la copiii între 10 şi 18 ani şi scolioza adultului – după maturarea scheletului. Cea mai comună formă de scolioză, reprezentând aproximativ 80% dintre cazurile de scolioză idiopatică ,este Scolioza Idiopatică a Adolescentului ( AIS).
Fiecare diagnostic este important.
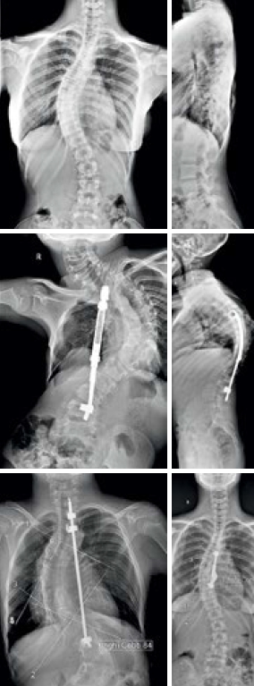
Diagnosticul se face prin examen radiografic. În cazurile în care etiologia nu poate fi apreciată radiologic se folosesc examinări IRM sau CT. Examenul radiologic are rolul de a confirma diag-nosticul, de a identifica atunci când este posibil etiologia şi de a aprecia evoluţia curburii. Curbura este măsurată prin metoda Cobb şi este apreciată în grade. La modul general, o scolioză este considerată semnificativă, dacă este mai mare de 25-30 de grade. Scoliozele de peste 45-50 grade sunt considerate severe şi necesită tratament mai agesiv.
În cadrul Departamenului de Radiologie şi Imagistică Medicală al Spitalului Monza Bucureşti avem în dotare un aparat radiographic digital Discovery XR 650, care beneficiază de o opţiune specială numită Auto Image Paste (Lipire automată imagine), este o opţiune avansată destinată achiziţionării unor imagini radiografice ale coloanei vertebrale şi membrelor inferioare, care sunt mai mari decât câmpul de vizualizare de 41 cm al receptorului curent. Anterior, acest lucru era realizat prin utilizarea unei casete „lungi”. Opţiunea Auto Image Paste (Lipire automată imagine) este disponibilă la receptoarele stativului de perete şi a mesei.
Discovery XR650 achiziţionează secvenţial 2 – 5 expuneri, apoi le combină digital (prin lipire) pentru a forma o singură imagine cu doză minimă de iradiere şi scutind pacientul de alte radiografii suplimentare.

Buletinul radiologic trebuie să precizeze:
• convexitatea (direcţia de deplasare) a curburii primare şi curburile compensatorii;
• amplitudinea curburii, vertebrele limită şi vertebra din vârful curburii cu gradul său de rotaţie;
• statica bazinului;
• echilibrul coloanei lombare;
• aprecierea deformării, maturării osoase a corpilor vertebrali.
Factorii prognostici ai scoliozei sunt:
• vârsta şi timpul trecut de la apariţie până la precizarea diagnosticului;
• gradul rotaţiei vertebrale;
• stadiul maturării scheletale;
• mărimea şi tipul curburii.
Tratamentul scoliozei se face prin gimnastică medicală respiratorie, corset, stimulare electrică, tratament chirurgical. Aprecierea unghiului de curbură este foarte important în adoptarea atitudinii terapeutice. Scoliozele cu grad de curbură mai mic de 20 grade trebuie tratate conservativ, iar pacienţii trebuie examinaţi la 3-6 luni pentru a aprecia progresia. Formele cu unghi între 20 grade şi 40 grade beneficiază de gimnastică medicală şi corset. Cele peste 40-50 grade necesită corecţie chirurgicală.
Tehnologia radiologică actuală permite un diagnostic corect al scoliozei, în urma cărora se poate stabili protocolul terapeutic şi totodată permite o evaluare în dinamica succesului terapeutic cu doze minime de iradiere.
Dr. Silvia Nicolae, medic primar radiolog
Str. Tony Bulandra, nr. 27, sect. 2, Bucureşti,
Tel.: 031.225.25.00,
info@spitalulmonza.ro, www.spitalulmonza.ro



























Buchet Nicoleta
Buna ziuarnAs dori o programare pentru Radiographic Digital Discovery.In urma unei radiografii de coloana cdl astazi descoperit ca fiica mea cu varsta de 20 ani are Scolioza toracala si as dori sa o investighez in acest sens.Mentionez ca sunt medic de familie si daca trebuie sa prezinte un bilet de trimitere si care e costul procedurii.Cu simarnNicoleta Buchet
Jan. 13, 2018, 6:47 p.m.